无觅相关文章插件,快速提升流量

看牙有道•王琪博客

广东佛山王琪牙医博客。佛山琪之花口腔,专注微创美牙/种牙/牙周病诊疗/根管治疗/全瓷牙/瓷贴面/瓷嵌体/牙齿矫正。

« 致爱妻-王琪诗作一首 清明抒怀-老家札记(外一篇:关于祭祖) »

前牙美学再修复/牙齿残根极限拯救病例之意向牙再植术后1年

 时间过得真快,这个2024年12月5日开始做的牙齿残根极限拯救病例——通过意向性牙再植术把烂到牙龈里面的尖牙残根拔出来,然后放回拔牙窝,留出能够安全修复的牙本质肩领空间固定牙根,临时牙观察,等待牙根完全长好之后,制作铸造纯钛桩,再经过BOPT预备,临时牙引导牙齿成形,最终达成的前牙美学再修复。一晃1年4个月了。

 

 

术前的情况是这样的,在此之前很久就来过门诊咨询,一定要我全程处理,那段时间又是我预约相对很满的节点,要排到很久才能抽出时间。可以先让门诊医生完成前期处理,重要步骤我再开始,这样就会轻松很多。患者后来就去别的地方了。
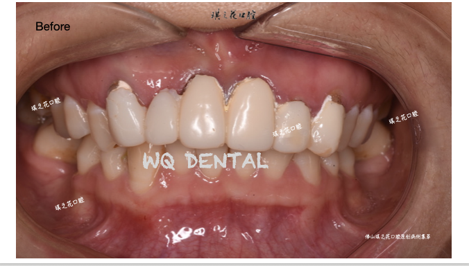
在外院拆了冠,并做了临时牙,特别不满意,又回来了。术前的临时牙微笑照,显示特别暴牙。

 

口内的情况是这样的。没取下临时牙冠之前不知道里面具体什么样子。只是看起来牙龈曲线不一致。

 

 首先得重做临时牙,患者对原来的临时牙外形非常焦虑,重做临时牙还是花了挺多时间,因为设计的美学蜡形并没有让患者满意,后来修修改改,总算最终临时牙的外形患者接受。

 

 

 真正让我头大的是拆掉她原先的旧临时牙之后——除了左上2和3条件稍好一点外,另三个几乎都是烂到只剩残根了,并且几乎都龋坏到龈下挺深,以右上3和右上1最为严重。丧失了牙本质肩领,意味着就算做了桩也根本用不了多久。如果患者愿意接受种牙,右上1和右上3首选种牙的方案是最可靠的。可惜,患者就是不愿意种牙,还是希望把牙根拯救一下。


真正意义上的救回这两个牙根,不是件容易事。冠延长?本身牙龈就高过邻牙过头了,只有正畸牵引和意向性牙再植术才能解决根本问题——实现桩冠修复必须要有完整健康牙本质肩领的前提!患者选择了意向性牙再植术。以下是意向性牙再植和桩冠修复,且用了BOPT牙体预备和临时牙牙龈整塑过程。因为原来的残根全是向唇侧倾的,所以,纤维桩是没得考虑的,只有铸造金属桩,才是唯一的选择!以下是整个过程。

 

 把最重要的三张做个特写——要从原始的模样达成这样的效果,是多么多么的不易——做过的都懂。

 

 最终的微笑照,术前的条件太苛刻了,也只能做到这个样子了。

 

 右侧面微笑照

 

 左侧面微笑照

 

2026年3月28日复诊的照片:

​再来回顾一下牙片:从左到右:第一张,红圈部分表示残根断端与骨面平齐,去完龋就在骨下了。第二张,意向再植术后即刻,黄圈部分显示拔牙再植的牙周间隙和末端移出空间。第三张,临时牙观察二个月后,牙周膜间隙闭合,牙根末端骨充填。第四张,一年多之后,牙周膜间隙完全恢复正常,健康牙齿边缘在骨上3-4mm,牙本质肩领完好。

 

 

 

 

对于这种残根桩冠极限拯救的病例,只有牙周健康,牙本质肩领完好,才能相对长期的稳定。且做且珍惜。人过中年,早已过了年轻时秀病例的阶段,对于复杂修复,做完之后,等一等,等久一点,再发。并且,这种病例对技术敏感性非常高,不能成为主流的可普及的修复方式。作为医生而言,最幸福的事情,是每天做些相对 不复杂的病例——简单的病例认真做,没有风险,患者的满意度最高,人也就轻松很多。。。
                       王琪 2026年3月28日夜初稿,2026年3月29日晨完稿
工作地址:佛山市禅城区魁奇一路11号1区P46-49号铺琪之花口腔门诊部

 

 

 

 

 

 

 

 

 

 

 

 

 

 

 

 

 



原创文章如转载,请注明:转载自佛山牙医王琪博客 [ http://wq88.com/ ]

本文链接地址:http://wq88.com/archives/1224.html
  • 文章排行:
  • 文章月度排行
    文章年度排行
    完全随机推荐

发表评论:

◎欢迎参与讨论,请在这里发表您的看法、交流您的观点。

订阅博客

  • 订阅我的博客:订阅我的博客
    通过Google订阅本站
    通过鲜果订阅本站
    通过邮件订阅本站

站内搜索

热文排行

最新评论及回复

最近发表

网站收藏

广告预留

    联系我们:wangqi2008red@163.com Powered By Z-Blog 1.8 Walle Build 91204 粤ICP备09198399号

    佛山市琪之花口腔王琪牙医原创博客,转载请注明出处。专注瓷贴面、瓷嵌体等微创牙齿美学与种植牙修复。预约看牙微信/电话:13542511984 
    - This site is licensed under a Creative Commons Attribution-NonCommercial-ShareAlike 2.5 License.